こんにちは。日本橋はやし矯正歯科 院長の林 一夫です。
今回は『外科手術が必要』と言われがちな重度の開咬(オープンバイト)と口ゴボを、抜歯と表側矯正で、Eラインも改善した症例を詳しく解説します。
同じ悩みをお持ちの方はぜひ参考にしてください。
20代女性の開咬(オープンバイト)・口ゴボの患者さま情報
以下が患者さま情報です。
| 患者さま |
25歳女性 |
| 主訴 |
重度の開咬(オープンバイト)と口ゴボ |
| 診断 |
骨格性Ⅱ級の開咬症例(Skeletal Class II Open bite) |
初診時:重度の開咬と口元の突出(口ゴボ)の悩み
横顔(Eライン)と口唇閉鎖不全のチェック

- 上下顎前歯が大きく前方に傾いており、口元の突出感(口ゴボ)が顕著です。
- 口が閉じにくく、口唇閉鎖不全 によりオトガイ部に「梅干し状のシワ」が発現しています。
- 下顎の後退感(いわゆる顎なし)が見られます。
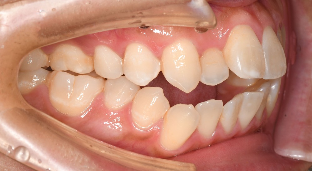
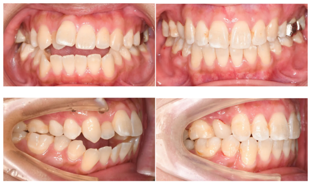
口腔内(正面)からは開咬と歯のねじれ、乱杭歯を確認

- 重度の開咬(オープンバイト)です。
- 上顎歯列弓の狭窄が著しいです。
- 強い叢生(ガタガタ歯、凸凹歯)が見られます。
口腔内(右側)からは口ゴボ、反対咬合を確認

- 上下前歯の強い唇側傾斜が見られます。
- 大臼歯は反対咬合(クロスバイト)となっています。
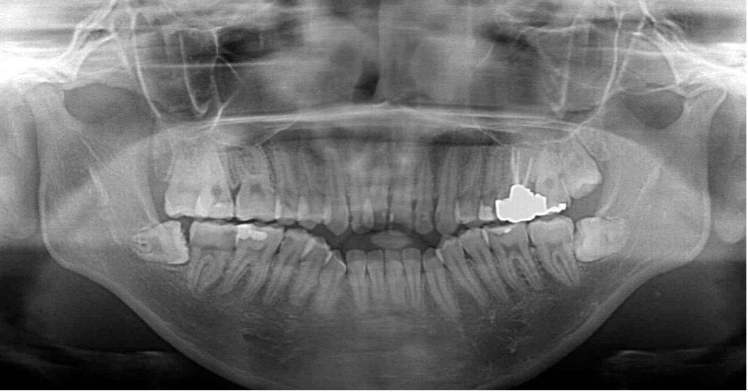
パノラマX線写真で抜歯すべき親知らずを確認

上下左右に 第三大臼歯(親知らず)が4本あることがわかります。今回の治療ではこれをすべて抜歯しました。
開咬の症例で親知らずがある場合は抜歯することが多いです。
なぜ抜歯するのかには所説あるのですが、親知らずが1つ前の歯を垂直的に押す力が加わると、奥歯の咬み合わせが高くなってしまい、開咬が悪化する場合があるからと言われています。
診断と治療方針、治療の流れ
診断と治療方針は以下となります。
- 診断:骨格性Ⅱ級の開咬症例(Skeletal Class II Open bite)
※下あごが後退し、上の前歯が突出している重度のオープンバイト
- 主な特徴:
口唇閉鎖不全
上下顎前歯の著しい唇側傾斜
歯列の狭窄と叢生
舌突出癖の可能性
- 治療方針
上顎両側第一小臼歯、下顎両側第二小臼歯の抜歯
上下顎右側第三大臼歯(智歯)の抜歯
表側矯正(マルチブラケット装置)による治療
必要に応じて舌突出癖の改善指導を併行
治療の流れ
以下の流れで治療を行いました。
- 精密検査(CBCT・セファロ・模型分析)
- 診断・治療方針の説明
- 上顎小臼歯抜歯+上顎装置装着
- 下顎小臼歯抜歯+下顎装置装着
- 抜歯空隙の閉鎖
- ディテーリング
- 保定
術後の変化(Outcome)について
横顔

口ゴボが大幅改善し、また口唇閉鎖が自然になり、オトガイの緊張が消失しました。
下顎のラインも明瞭になり、美しいEライン を獲得できました。
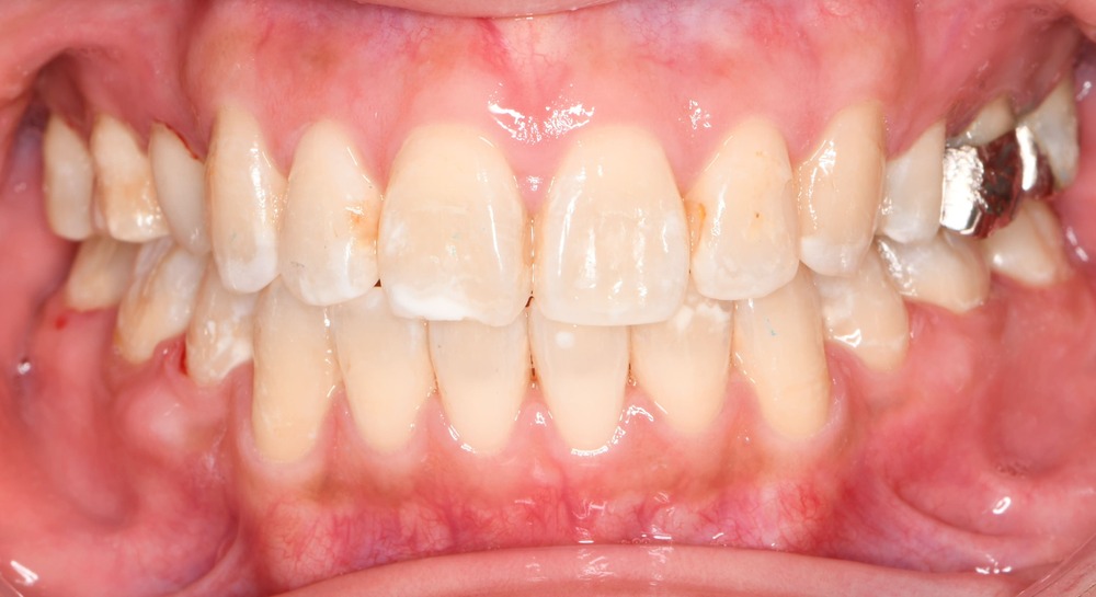
正面(口腔内)

開咬が完全に改善
上下の叢生も整い、理想的なアーチフォームに
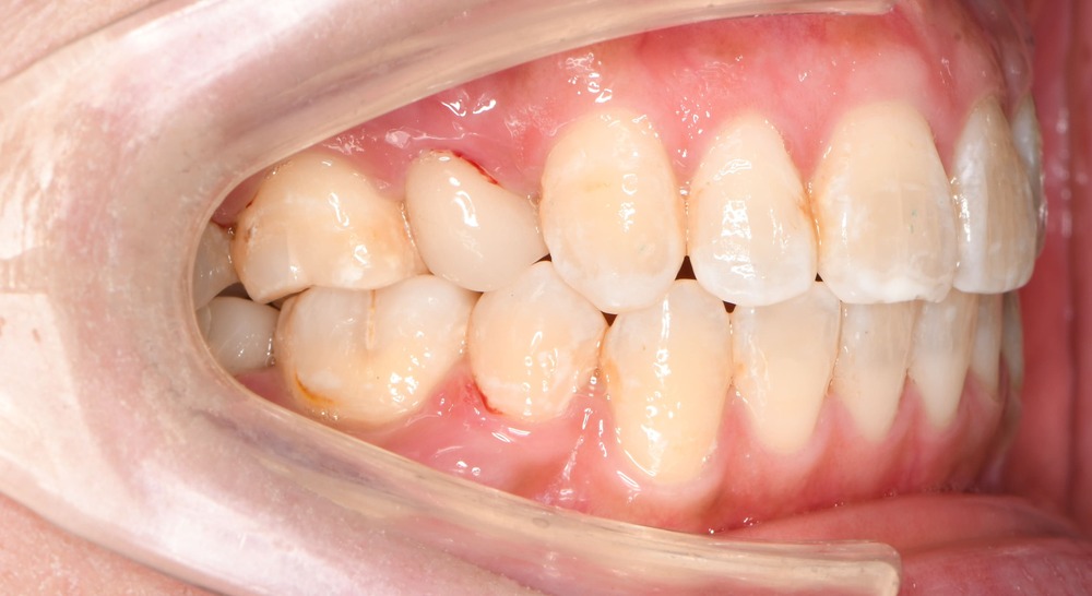
右側

大臼歯の反対咬合が改善し、正常な咬合関係を獲得しました。
患者さまにも大変ご満足いただけました。
まとめ
- 診断:骨格性Ⅱ級の開咬症例(Skeletal Class II Open bite)
- 主な特徴:
口唇閉鎖不全
上下顎前歯の著しい唇側傾斜
歯列の狭窄と叢生
舌突出癖の可能性
- 治療方針
上顎両側第一小臼歯、下顎両側第二小臼歯の抜歯
上下顎右側第三大臼歯(智歯)の抜歯
表側矯正(マルチブラケット装置)による治療
必要に応じて舌突出癖の改善指導を併行
- リスク:歯根吸収、抜歯空隙の後戻り、舌癖による開咬の後戻り
- 治療期間:2年10カ月
- 治療費:1,100,000円(税込、精密検査料含む/2022年当時)
最後に
いかがでしたでしょうか。今回も比較的重度の症例を見ていただきました。
開咬は外科手術を行うことも多いのですが、手術なしでの治療をご希望される患者さまももちろん多くいらっしゃいます。
日本橋はやし矯正歯科では患者さまのご希望沿った治療計画を立案し、実際に治療を行うことが出来る技術と経験があります。
ぜひ一度、カウンセリングにお越しください。
カウンセリングでは「横顔シミュレーション」を行っています。
当院のカウンセリングについて詳しくはこちら
開咬についてのよくある質問
Q1. 開咬は、手術なしでも治せますか?
A. 症例によりますが、非外科で治せるケースはもちろんあります。
上下顎前歯の傾斜や舌癖が原因の開咬は、適切な抜歯設計と歯軸コントロールにより改善可能です。
Q2. なぜ第一小臼歯や第二小臼歯を抜歯するのですか?
A. 開咬や口ゴボの改善には「前歯の後退(後方移動)」が必要なためです。特に本症例のようにⅡ級傾向の場合で口元の突出感を下げるには、
を選択すると、上下のバランスを整えやすく、仕上がりの横顔が美しくなります。
Q3. 抜歯すると老けて見えるって本当ですか?
A. 今回の症例のように適切にコントロールすれば老けるどころか横顔が圧倒的に綺麗になります。
今回の症例の場合、こうした問題が改善され、むしろ若々しい印象になります。
Q4. 舌癖(舌突出癖)があると、開咬は戻りますか?
A. はい、戻るリスクがあります。
開咬の大きな原因に1つが“舌の押し出し”であるケースが多く、治療後に 舌癖が残ったままだと再発の可能性があります。
Q5. 治療期間はどれくらいですか?
A. 重度の開咬の場合、3年~3年半程度が多いです。
今回の症例は 2年10カ月 で治療を終えています。
Q6. 開咬を治すと、見た目以外にどんなメリットがありますか?
A. とても多くの機能改善が期待できます。
- 噛む力が強くなる
- 食べ物を噛み切りやすくなる
- 発音の改善
- 口唇閉鎖不全の改善
- オトガイ筋の緊張が減る
- 口呼吸が減少し、鼻呼吸がしやすくなる
見た目だけではなく、呼吸と機能面の改善にもつながるため、開咬治療はメリットが大きいです。