みなさんこんにちは、日本橋はやし矯正歯科院長の林一夫です。
今回は抜歯矯正を行った口ゴボ治療の治療例を紹介させていただきます。
口ゴボってどんな状態?
口ゴボとは、前歯が出ているため、特に横顔で口元全体が「ゴボ」っと突き出たような状態になっていることを指す一般的な言葉です。
医療用語ではなく俗称ですが、みなさまに伝わりやすいのでコラムではこの「口ゴボ」という言葉を用いています。
口ゴボの確かめ方は?
口ゴボを確かめるには「Eライン」を基準にします。
Eラインとは「エステティックライン(Esthetic Line)」の略で、鼻先と顎先を結んだ線を指し、この線に唇が触れるか少し内側におさまっているのが美しいEラインであるとされています。
そしてこのEラインよりも外側に出てしまっている状態を「口ゴボ」といいます。
Eラインよりかなり出ている状態を一般的には指しますが、個人の感じ方によるものなので、出ているのが少しだけでもとても気にされる方もいらっしゃいます。
口ゴボの治療例
それでは口ゴボの矯正治療例をご紹介します。
まず、こちらは治療前の横顔の写真です。

先にご説明した、いわゆる口ゴボと言われる上下の口唇が前方に突出した状態です。
Eラインの線を引いてみましたのでご覧ください。

特に下顎の口唇が前方に突出してることがお分かりいただけると思います。
また軽度の口唇閉鎖不全も認められ、オトガイ部が筋緊張でくぼんでいることがお分かりなると思います。
こちらはスマイルの写真です。上顎前歯の重度の唇側傾斜(いわゆる出っ歯です)により中切歯が大きく感じられ、審美的に問題が生じています。

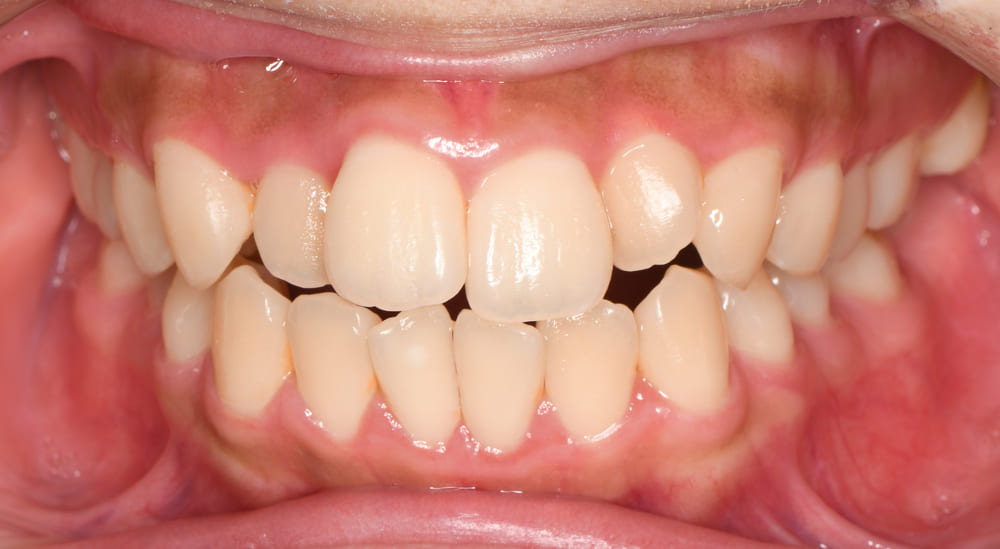
次に正面の口腔内写真をご紹介します。
いわゆる八重歯(犬歯の低位唇側転位)が認められ、側切歯と言われる前から2番目の歯も不正な位置に萌出しています。

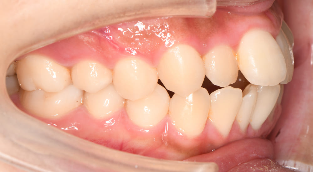
右側からの口腔内写真です。上下顎の前歯が著しく前方に傾斜していることがお分かりいただけると思います。

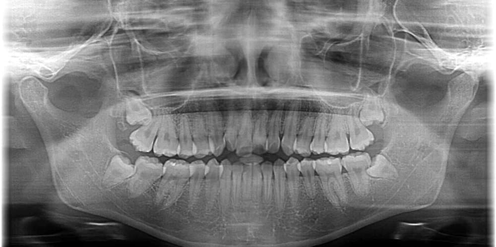
パノラマレントゲン写真です。

上下左右の親知らずの埋伏が認められます。
矯正治療中にタイミングを見てすべて抜去する予定です。
※親知らずの抜歯は保険適用になるので大学病院を紹介させていただき、抜歯を行うことが多いです。
診断結果と治療方針、治療の流れについて
どんな診断結果、そしてどんな装置と抜歯方法で治したのか
診断結果と装置、抜歯方法は以下となりました。
- 診断:口唇閉鎖不全、上下顎前歯の唇側傾斜、上顎両側犬歯の低位唇側転位、上下顎に重度の叢生が認められる骨格性Ⅱ級症例
- 治療方針:上顎両側第一小臼歯、下顎両側第二小臼歯の抜歯、ハーフリンガル矯正(上顎裏側・下顎表側)により治療を行った
どんな治療の流れだったのか
以下の流れで治療を行いました。
- まず精密検査を行います。(CBCT・セファロ・模型分析)
- 次に診断・治療方針の説明をします。
- 上顎小臼歯の抜歯と上顎の装置装着を行います。(裏側)
- 下顎小臼歯の抜歯と下顎の装置装着を行います。(表側)
- レベリング・アラインメントを行います。
(レベリング・アライメントとは、矯正治療において歯の傾きや前後左右の位置を整えることを指します)
- 抜歯スペースの閉鎖をします。
- 最終調整をして、治療が終了となります。
治療後のお写真をご紹介します
治療終了時の横顔の顔面写真です。

口ゴボはどのくらい改善された?
治療後の口ゴボは、美しいEラインを獲得できるほどに改善し、理想的な横顔となりました。
また口唇閉鎖不全も解消されたことでオトガイの形態も良く改善されています。

スマイル写真です。とても自然な理想的なスマイルを獲得できました。

口ゴボが治って笑顔になれました
治療前は「口ゴボだから、笑うと口元が気になる」とお話されていましたが、治療後は「口ゴボが治って自然に笑えるようになった」と笑顔でおっしゃっていました。
患者さまも大変満足されていらっしゃいました。
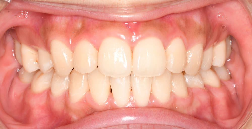
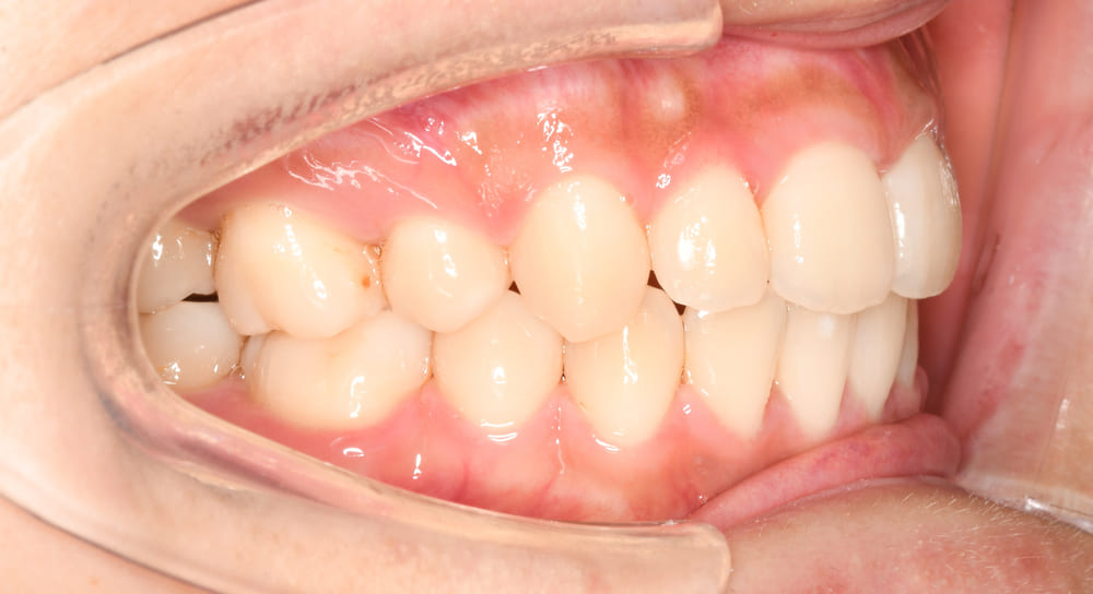
口腔内の写真です。まずは正面です。
八重歯、個々の歯の位置異常が適切に整えられていることがお分かりいただけると思います。
右側です。上下顎前歯の唇側傾斜が改善され理想的な歯軸傾斜と上下的なかみ合わせを獲得することができました。

親知らずの抜歯はなぜ必要だった?
親知らずを抜歯した理由は、矯正治療後の安定性にあります。
矯正治療後に、歯の凸凹などの後戻りの防止予防のために親知らずの抜歯はとても重要で、抜歯することで術後の咬合の安定が高まります。
パノラマレントゲン写真です。親知らずは、4本とも抜歯されています。

今回の口ゴボの矯正治療のまとめです
口ゴボのハーフリンガル矯正(上顎裏側・下顎表側)による矯正治療のまとめです。
- 診断:口唇閉鎖不全、上下顎前歯の唇側傾斜、上顎両側犬歯の低位唇側転位、上下顎に重度の叢生が認められる骨格性Ⅱ級症例
- 治療方針:上顎両側第一小臼歯、下顎両側第二小臼歯の抜歯、ハーフリンガル矯正(上顎裏側・下顎表側)による治療
- リスク:歯肉退縮、ブラックトライアングル、歯根吸収
- 治療期間:3年
- 治療費:125万円(税込み、精密検査料含む/2022年当時の治療費)
口ゴボを治すためのよくある質問です
口ゴボにお悩みの方からよく聞かれる質問に答えました。
Q:口ゴボかどうかの確かめ方は?
A:通常「Eライン」を目安にします。
Eラインとは「エステティックライン(Esthetic Line)」の略で、鼻先と顎先を結んだ線を指します。
この線に唇が触れるか少し内側におさまっているのが美しいEラインであるとされており、このEラインよりも外側に出てしまっている状態を「口ゴボ」といいます。
程度については個人の感じ方によるものなので、出ているのが少しだけでもとても気にされる方もいらっしゃいます。
Q:口ゴボを改善するには抜歯が必要ですか?
A:口ゴボの突出の程度や骨格によりますが、歯の位置だけでなく顎骨全体のバランスを整えるため、抜歯を行うことでより自然な横顔を得られるケースが多いです。
Q:口ゴボを改善するには親知らずを抜かないとだめですか?
A:口ゴボの矯正治療後の後戻りを防ぐため、また術後の咬合の安定を図るために、矯正治療終了時に親知らずが残っている場合は抜歯をおすすめすることが多いです。
口ゴボでお悩みの方はぜひ日本橋はやし矯正歯科にご相談ください。CBCT・セファロを用いた精度の高いカウンセリングを行います(3,000円/税込)。
カウンセリング後に精密検査をご予約いただいた方には、カウンセリング料金をキャッシュバックさせていただいております(カウンセリング料金が実質無料になります)。