日本橋はやし矯正歯科 院長 林 一夫
資格 (ドクターの紹介はこちら)
・日本矯正歯科学会認定医
・日本矯正歯科学会指導医
・日本顎関節学会専門医
・日本顎関節学会指導医
・デンツプライシロナ公認 SureSmile/Adance/Orhto/Aligner ファカルティ・ドクター/インストラクター・ドクター
日本橋はやし矯正歯科 TOP > コラム > 重度の開咬(オープンバイト)症例の治療例
資格 (ドクターの紹介はこちら)
・日本矯正歯科学会認定医
・日本矯正歯科学会指導医
・日本顎関節学会専門医
・日本顎関節学会指導医
・デンツプライシロナ公認 SureSmile/Adance/Orhto/Aligner ファカルティ・ドクター/インストラクター・ドクター
みなさんこんにちは、日本橋はやし矯正歯科 院長の林一夫です。
今回は「重度の開咬(オープンバイト)」の患者さまに対して、外科手術を行わず矯正治療のみで改善した症例をご紹介します。
目次
※1:いわゆるポカン口を指します
※2:いわゆる出っ歯を指します
※3:歯が並ぶための必要なスペースが不足していることを指します
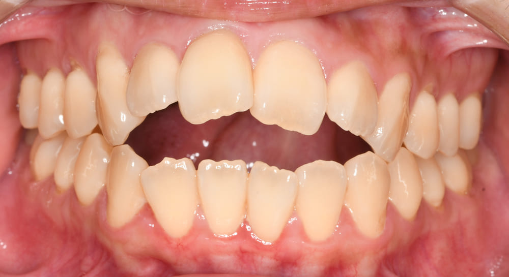
正面の口腔内写真では、前歯部の上下的な開き(開咬)が約10mmあり、通常の平均値(オーバーバイト:マイナス2〜3mm)と比べてかなり大きく開いている状態です。

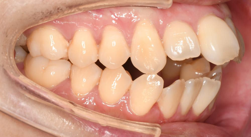
右側の写真では、
という、典型的な開咬パターンが確認されました。

スマイル写真からも、舌を前方に押し出す「舌突出癖」が見られます。

この癖は治療期間の延長や後戻りのリスク要因となるため、患者さまにも十分に説明し、できるだけ癖をやめるように気にしながら生活するようにお伝えしました。
通常であれば外科手術を行うべき症例でしたが「外科手術を行わず矯正治療のみにしたい」との患者さまのご希望がありました。
そこで慎重に3Dデジタル矯正での精密検査及び診断を経て、私の経験上から、矯正のみでも可能であると判断いたしました。
しかしながら外科手術を行わない、矯正単独治療でのリスク(主に後戻り)がありますので、そこについてしっかりと説明をさせていただき、リスクを理解していただいたうえで治療を開始しました。
パノラマ写真では、上下顎右側に親知らず(智歯・8番)が確認されました。

この親知らずが開咬の原因の一部である可能性が高いため(親知らずが他の歯を圧迫した結果、開咬になっている可能性がある)、治療開始と同時に抜歯を行いました。
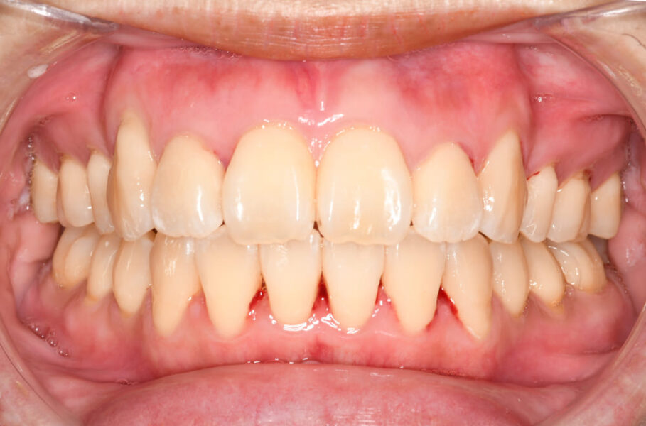
正面の口腔内写真では、矯正治療のみで重度の開咬が改善され、前歯部の上下的な重なりも平均的なオーバーバイト(2〜3mm)へと回復しました。

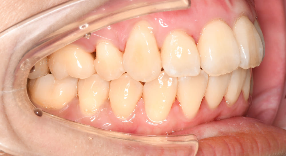
右側の写真でも、前歯部の唇側傾斜(出っ歯)の改善と安定した咬合関係が得られています。
また、前歯部の後退により口唇閉鎖不全も解消され、自然な口元となりました。

スマイル写真からも、治療後はより自然で調和の取れた笑顔を獲得でき、患者さまにも大変満足していただけました。

治療期間はおよそ2年で、術後のパノラマ写真では、歯根吸収もなく、良好な位置関係で歯列が安定しています。
今回の症例に関連したよくある質問をおまとめしました。
A:矯正単独で改善を目指す場合、抜歯によるスペース確保が必要になることが多いです。また、抜歯を行った治療の方が、術後の安定性が高い傾向にあります。
A:舌が前方に押し出されると、前歯を後退させる力と拮抗してしまい、治療期間の延長や後戻りを引き起こすリスクが高まります。
そのため、舌の位置や癖のコントロールも治療成功の大切な要素になります。
重度の骨格性開咬でも、適切な診断と計画により矯正単独で改善できる場合があります。
骨格や癖の影響を正確に分析し、3D診断を活用して治療を進めることが大切です。
日本橋はやし矯正歯科では横顔シミュレーションを含むカウンセリング(税込3,000円)を行っております。
カウンセリング後に矯正治療のご契約をいただいた方にはカウンセリング料金をキャッシュバックしております。
お気軽にご連絡ください。
資格 (ドクターの紹介はこちら)
・日本矯正歯科学会認定医
・日本矯正歯科学会指導医
・日本顎関節学会専門医
・日本顎関節学会指導医
・デンツプライシロナ公認 SureSmile/Adance/Orhto/Aligner ファカルティ・ドクター/インストラクター・ドクター
| 1995年 | 北海道医療大学歯学部卒業 |
|---|---|
| 1999年 | 北海道医療大学大学院歯学研究科歯学専攻博士課程修了・学位取得 |
| 1999年 | 海道医療大学歯学部矯正歯科学講座 助手 |
| 2003年 | アメリカ・ミネソタ大学歯学部口腔科学科 客員研究員 |
| 2006年 | 北海道医療大学歯学部矯正歯科学講座 講師 |
| 2007年 | 北海道医療大学歯学部口腔構造・機能発育学系歯科矯正学分野 講師 |
| 2007年 | 北海道矯正歯科学会 理事 |
| 2008年 | アメリカ・ノースカロライナ大学歯学部矯正科 客員教授 |
| 2008年 | 北海道医療大学歯学部口腔構造・機能発育学系歯科矯正学分野 准教授 |
| 2011年 | Digital Orthodontics 研究会 副会長 |
| 2015年 | 日本橋はやし矯正歯科 開院 |
| 2018年 | K Braces矯正歯科原宿駅前 総院長就任 |
| 2021年 | 日本デジタル矯正歯科学会 副会長就任 |
| 2002年 11月 | 日本矯正歯科学会認定医(第2293号) |
| 2007年 8月 | 日本矯正歯科学会指導医(第608号) |
| 2013年 5月 | 日本顎関節学会専門医(第343号) |
| 2013年 5月 | 日本顎関節学会指導医(第208号) |