日本橋はやし矯正歯科 院長 林 一夫
資格 (ドクターの紹介はこちら)
・日本矯正歯科学会認定医
・日本矯正歯科学会指導医
・日本顎関節学会専門医
・日本顎関節学会指導医
・デンツプライシロナ公認 SureSmile/Adance/Orhto/Aligner ファカルティ・ドクター/インストラクター・ドクター
日本橋はやし矯正歯科 TOP > コラム > 治療期間6ヶ月:上下前歯の凸凹(叢生)と開咬の矯正治療例
資格 (ドクターの紹介はこちら)
・日本矯正歯科学会認定医
・日本矯正歯科学会指導医
・日本顎関節学会専門医
・日本顎関節学会指導医
・デンツプライシロナ公認 SureSmile/Adance/Orhto/Aligner ファカルティ・ドクター/インストラクター・ドクター
こんにちは。日本橋はやし矯正歯科 院長の林 一夫です。
日本橋はやし矯正歯科では、開院当初より「最短6ヶ月の治療期間」で矯正治療が行えることをホームページにてご説明しております。
ここでは実際に6ヶ月で治療が終了した症例をご紹介いたします。
※今回の患者様の事例です。実際の治療は個人差がありますのであくまで参考とお考えください。
この患者様は上下前歯の凸凹(叢生)と前歯が開いていること(開咬)を悩みとされ、これらの改善をご希望されていました。
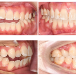
▼ご来院された頃、治療前の写真です。

前歯の全体、特に下が不揃いで、奥歯が閉じているにも関わらず前歯が閉じない「開咬」の状態であることが、この写真からよくわかります。
このように「叢生と開咬の両方が見られる場合」は、抜歯を伴う治療になる場合がほとんどです。
しかし、この患者様は「健康な歯を抜きたくない」という思いがとても強かったので、歯を抜かないで治療を行うことにいたしました。
以下、患者様とお話し合いをした内容です。
「抜歯をしないことによる副作用の可能性」があることはもちろん患者様に念入りにご説明をして、それでも非抜歯での治療、さらに患者様のご事情により「なるべく短期間で治療を終えたい」とのご意向もあり、その方向での治療となったのです。
しかし、本来抜歯したほうが良い治療で、このまま歯を並べてしまうことはできません。
そうすると前歯が唇側に傾いてしまい出っ歯になったり、また開咬も治すことが難しくなります。
ですので、歯と歯の間を薄いヤスリのようなブレードで削ることで隙間を作り、歯を並べていくこと(ディスキングまたはIPRといいます)が治療において重要な事項となります。
▼こちらが実際のディスキングを含めた3Dシミュレーションの画像です。

矢印で記した、赤枠の部分がディスキングの数値です。かなり細やかな技術が必要となる治療であることがお分かり頂けるでしょうか。
これに従い、一本一本の歯を画像で確認しながら、慎重にディスキングを行っていき、そして輪ゴム(顎間ゴム)を併用して咬みあわせを改善していきます。
▼こちらが治療後の写真です。

歯の凸凹、前歯の空いた状態が改善され、とても綺麗な歯並びになりました。
※保定装置(リテーナー:矯正治療後の後戻りを抑える装置)は、裏から細い針金で固定するFixed Retainerを用いています。
患者様の
というご要望にできるだけ応えるための治療計画を立てたことでご安心頂き、また、実際に実現したことで患者様には大変満足していただきました。
治療期間6ヶ月の大まかな内訳は以下となります。
適切な診断と治療方針を基にした矯正治療を行うことで、わずか6ヶ月の治療期間でとても効果的な治療が行えることをお分かりいただけたと思います。
今後も、今回の治療例のように医療法の広告ガイドラインに添った適切な形式で、術前術後の症例をご紹介していきたいと思っています。
資格 (ドクターの紹介はこちら)
・日本矯正歯科学会認定医
・日本矯正歯科学会指導医
・日本顎関節学会専門医
・日本顎関節学会指導医
・デンツプライシロナ公認 SureSmile/Adance/Orhto/Aligner ファカルティ・ドクター/インストラクター・ドクター
| 1995年 | 北海道医療大学歯学部卒業 |
|---|---|
| 1999年 | 北海道医療大学大学院歯学研究科歯学専攻博士課程修了・学位取得 |
| 1999年 | 海道医療大学歯学部矯正歯科学講座 助手 |
| 2003年 | アメリカ・ミネソタ大学歯学部口腔科学科 客員研究員 |
| 2006年 | 北海道医療大学歯学部矯正歯科学講座 講師 |
| 2007年 | 北海道医療大学歯学部口腔構造・機能発育学系歯科矯正学分野 講師 |
| 2007年 | 北海道矯正歯科学会 理事 |
| 2008年 | アメリカ・ノースカロライナ大学歯学部矯正科 客員教授 |
| 2008年 | 北海道医療大学歯学部口腔構造・機能発育学系歯科矯正学分野 准教授 |
| 2011年 | Digital Orthodontics 研究会 副会長 |
| 2015年 | 日本橋はやし矯正歯科 開院 |
| 2018年 | K Braces矯正歯科原宿駅前 総院長就任 |
| 2021年 | 日本デジタル矯正歯科学会 副会長就任 |
| 2002年 11月 | 日本矯正歯科学会認定医(第2293号) |
| 2007年 8月 | 日本矯正歯科学会指導医(第608号) |
| 2013年 5月 | 日本顎関節学会専門医(第343号) |
| 2013年 5月 | 日本顎関節学会指導医(第208号) |